あらい歯科クリニック玉川学園前の症例集|町田市玉川学園の歯医者

〒194-0041 東京都町田市玉川学園2-11-24 がくえん駅前ビル1F

車 医院駐車場・提携駐車場あり(チケットをお渡しします)

電車 玉川学園前駅北口より徒歩1

症例集 CASE

症例紹介

ホワイトニング

CASE 01

Before

After

施術内容オフィスホワイトニング
治療期間3回
リスク・副作用均一な白さにならず、色むらが生じる場合があります。
費用49,500円

※表示金額は全て税込みです。

CASE 02

Before

After

施術内容オフィスホワイトニング
治療期間4回
リスク・副作用均一な白さにならず、色むらが生じる場合があります。
費用66,000円

※表示金額は全て税込みです。

CASE 03

Before

After

施術内容オフィスホワイトニング
治療期間3回
リスク・副作用均一な白さにならず、色むらが生じる場合があります。
費用49,500円

※表示金額は全て税込みです。

インプラント

CASE 01

Before

After

施術内容インプラント治療
治療期間3ヵ月
リスク・副作用下顎の骨密度が不足している場合、インプラントが十分に固定されない可能性があり、インプラントが動く、または脱落するリスクがあります。
費用418,000円

※表示金額は全て税込みです。

CASE 02

Before

After

施術内容6,7番に2本埋入
治療期間4ヵ月
リスク・副作用下顎の骨密度が不足している場合、インプラントが十分に固定されない可能性があり、インプラントが動く、または脱落するリスクがあります。
費用836,000円

※表示金額は全て税込みです。

CASE 03

Before

After

施術内容右下奥歯(7番目の歯)のインプラント治療
治療期間4か月程度
リスク・副作用下顎の骨密度が不足している場合、インプラントが十分に固定されない可能性があり、インプラントが動く、または脱落するリスクがあります。
費用495,000円

※表示金額は全て税込みです。

CASE 04

Before

After

施術内容右上6番目の歯のインプラント治療
治療期間6か月
リスク・副作用インプラントは虫歯にはなりませんが、歯周病菌による炎症(歯周病)にはなります。これを「インプラント周囲炎」と呼びます。 日常のケア(歯磨き)や定期的な歯科医院でのメンテナンスを怠ると、歯周病菌が増殖し、インプラントを支えている顎の骨が溶けてしまいます。
費用495,000円

※表示金額は全て税込みです。

CASE 05

Before

After

施術内容左下6番7番インプラント治療
治療期間4か月
リスク・副作用術後数日から1週間程度、痛みや頬の腫れ、青あざのような内出血が出ることがあります。
費用946,000円

※表示金額は全て税込みです。

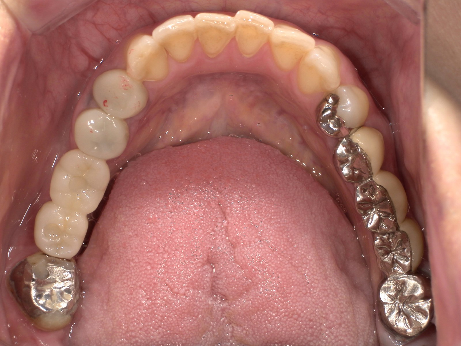
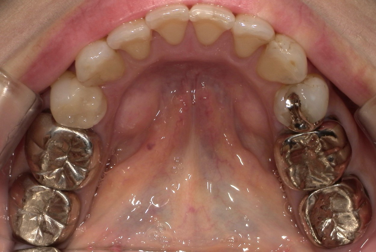
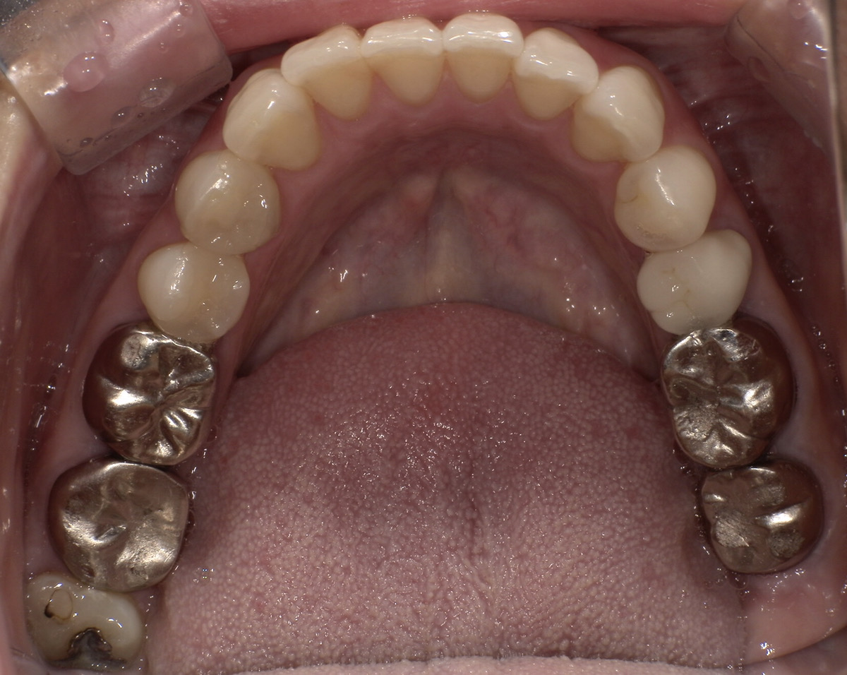
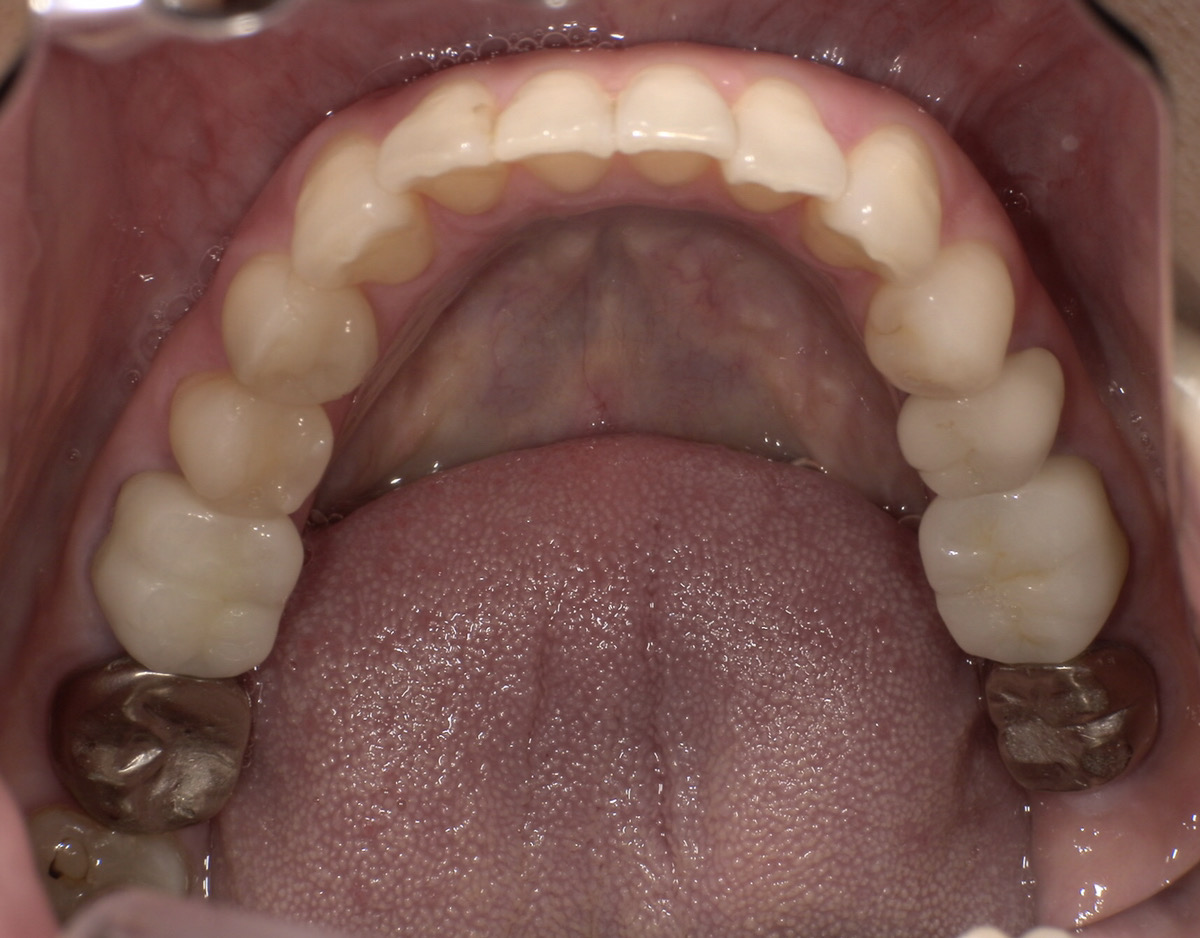
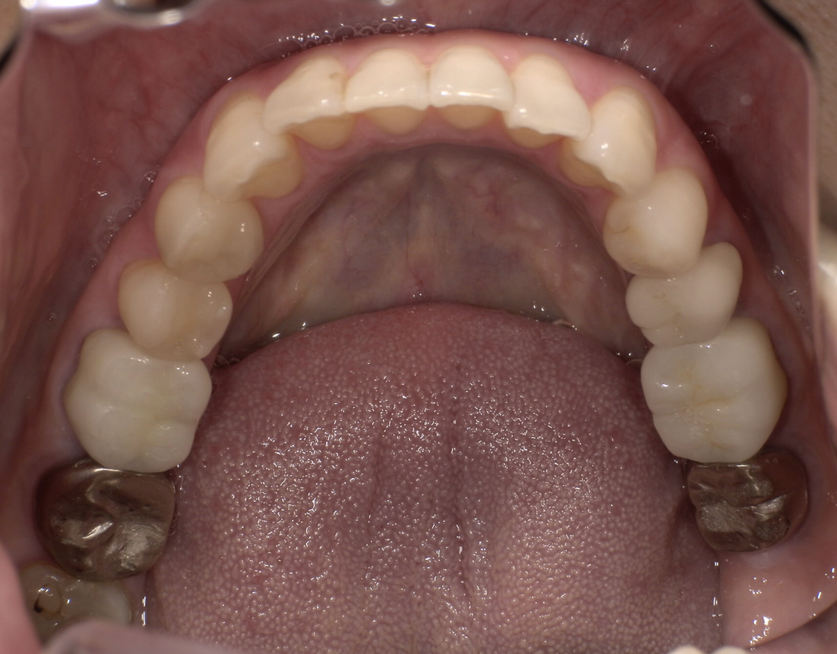
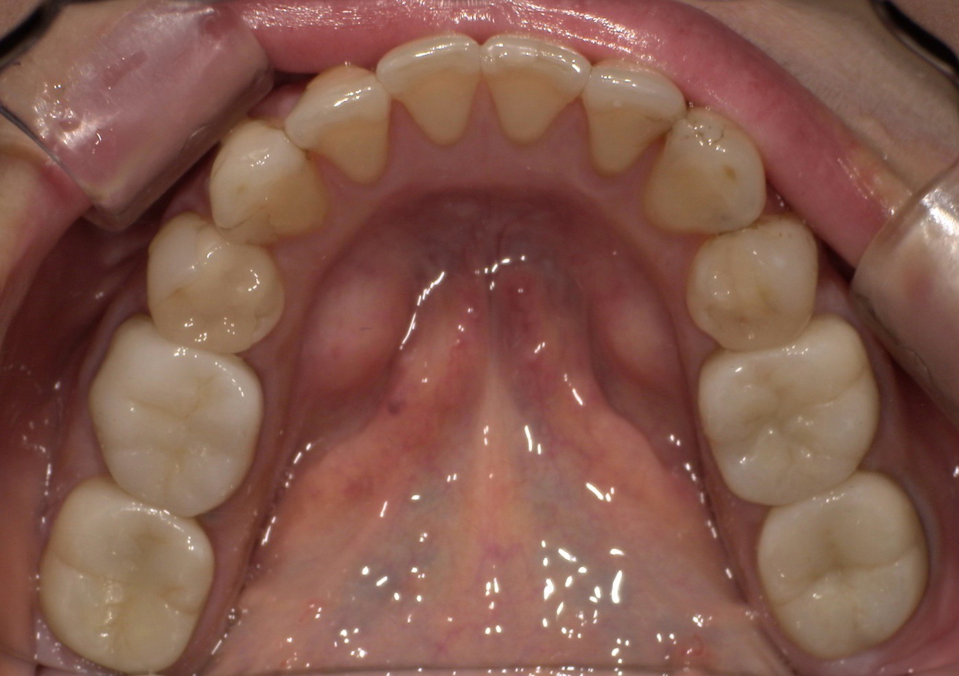
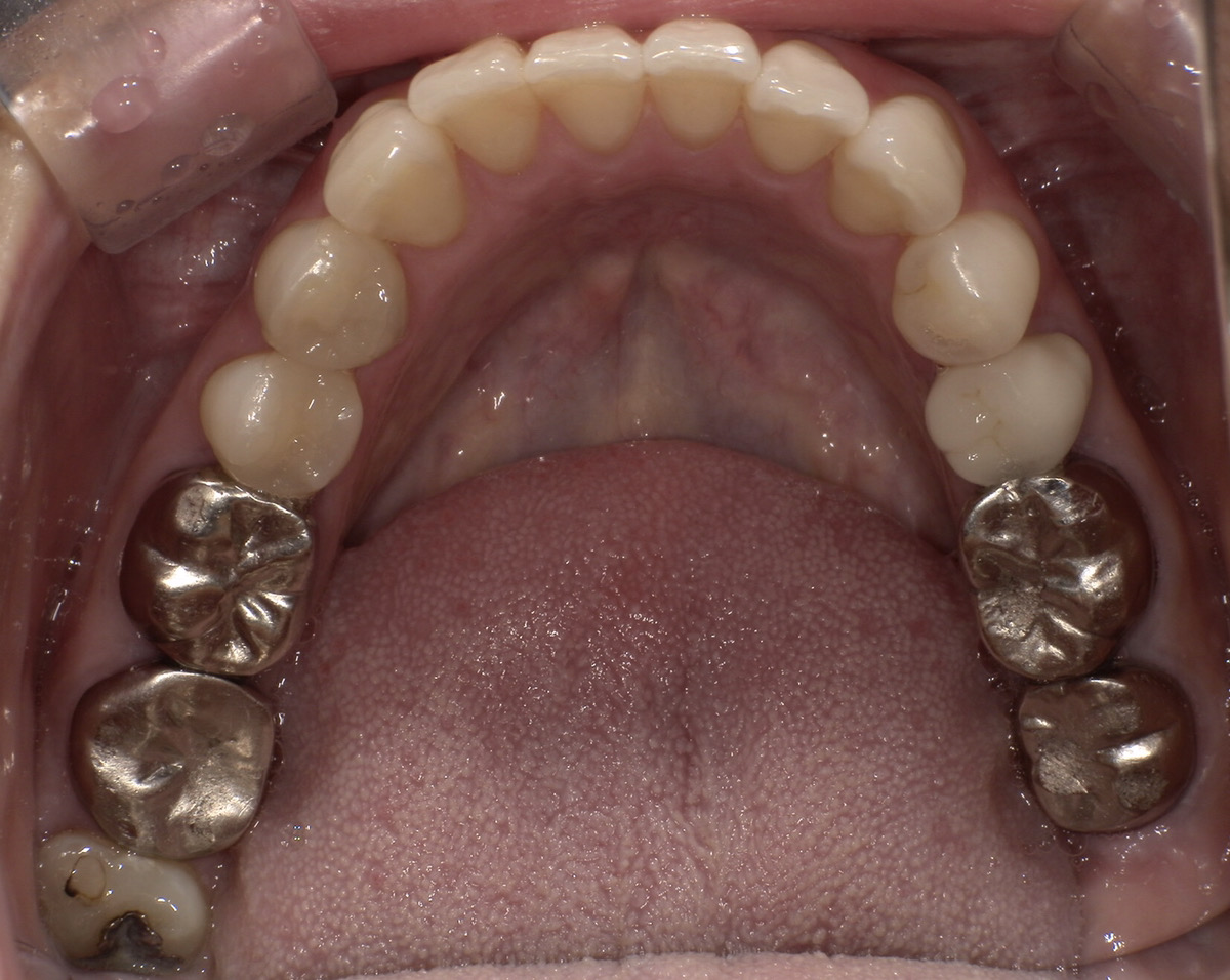
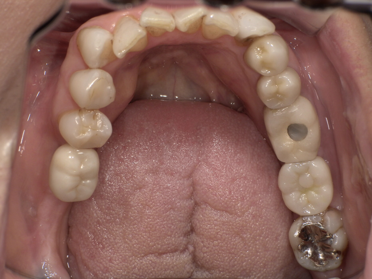
審美・セラミック治療

CASE 01

Before

After

施術内容下の銀歯が目立つので、白くしたいとのご希望。奥歯(左右第1大臼歯)の銀歯のかぶせ物をセラミックのかぶせ物(クラウン)に交換。
治療期間1か月
リスク・副作用セラミックは陶器の一種であるため、強い衝撃によって割れたり欠けたりする可能性があります。特に、噛む力が強くかかる奥歯は、前歯に比べて破損のリスクが高まります。
費用198,000円(税込み)

※表示金額は全て税込みです。

CASE 02

Before

After

施術内容下の銀歯を白くしたいとのこと。下顎左右第一大臼歯の銀歯をジルコニアクラウンに交換。
治療期間2か月
リスク・副作用ジルコニアは非常に強度が高いですが、強い衝撃や極端に強い噛み合わせ、歯ぎしり・食いしばりなどがある場合、まれに割れたり欠けたりする可能性があります。
費用198,000円

※表示金額は全て税込みです。

CASE 03

Before

After

施術内容左右下顎の第一・第二大臼歯の銀歯(被せ物)をジルコニアクラウンに交換。右下第二小臼歯の銀歯(詰め物)をジルコニアインレーに交換。
治療期間3か月
リスク・副作用ジルコニアは非常に強度が高いですが、強い衝撃や極端に強い噛み合わせ、歯ぎしり・食いしばりなどがある場合、まれに割れたり欠けたりする可能性があります。
費用 454,400円

※表示金額は全て税込みです。