こんにちは。町田市玉川学園前の歯医者あらい歯科クリニック玉川学園前です。
今回は、インプラント治療の症例をご紹介させていただきます。
初診時のパノラマレントゲン写真です。
左上の6番7番の咬合痛及び左下のブリッジの動揺が主訴で来院されました。左上6番7番は歯根破折、左下5番8番はかなり動揺しておりいずれも保存不可と判断し、抜歯をした後インプラント治療をご希望されました。

下顎の5番8番抜歯後のインプラント埋入前の写真です。

上顎の6番7番抜歯後のインプラント埋入前の写真です。

左側上下にインプラント埋入後のパノラマレントゲン写真です。

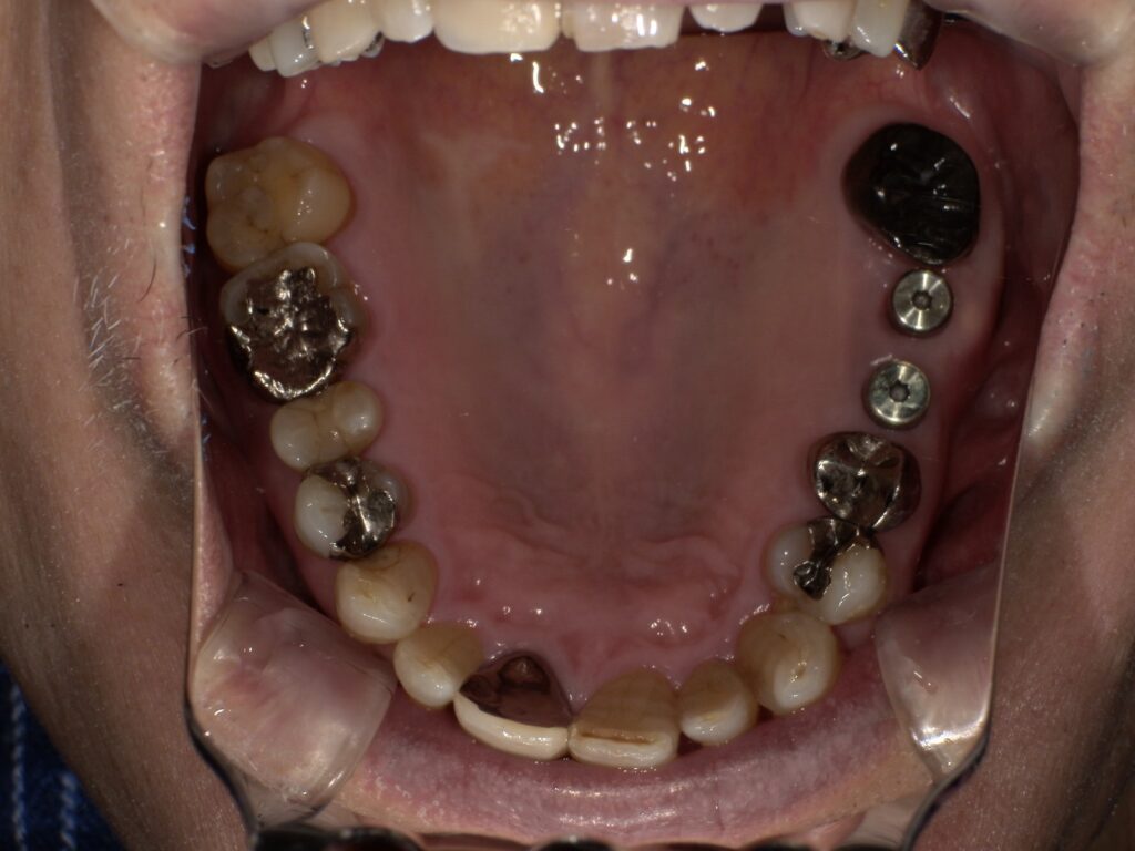
下顎の5番7番にインプラントを埋入した2次オペ後の写真です。

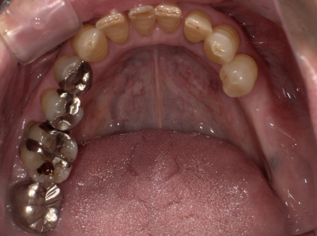
上顎の6番7番にインプラントを埋入した2次オペ後の写真です。

下顎は5番7番相当部にインプラントを埋入し、上部構造はブリッジ形態となっております。
今回は患者様のご希望により、上部構造は銀歯で作成いたしました。
上顎の上部構造セット後の写真です。
こちらも患者様のご希望により、上部構造は銀歯で作成いたしました。
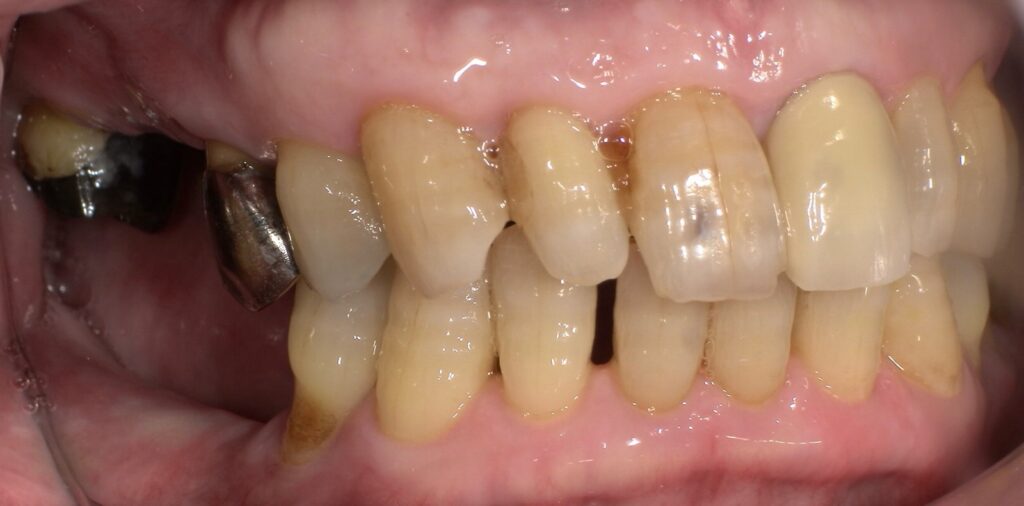
術前の側面からの写真です。

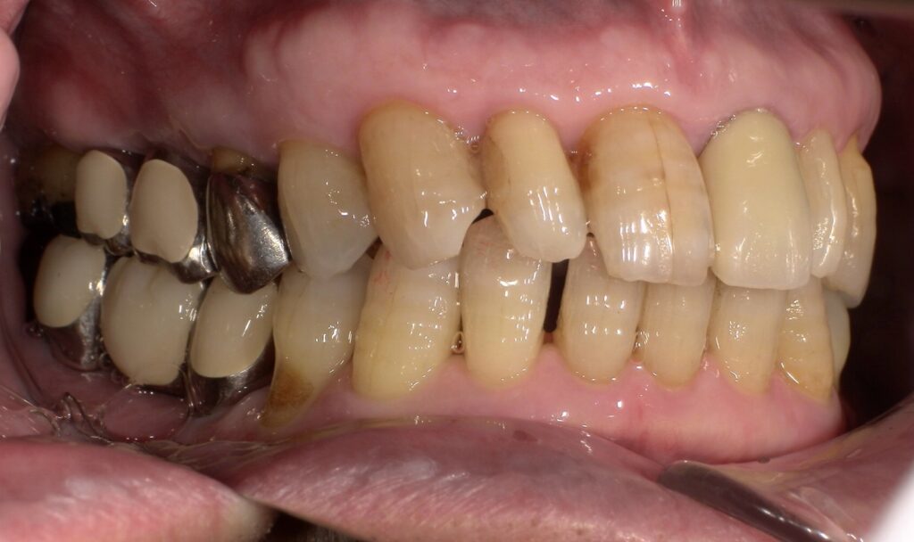
上部構造セット後の側面からの写真です。
患者様より、よく噛めると喜んでいただけました。期間
6か月
費用(上下総費用)
1,672,000円(税込)
副作用・リスク
術後数日から1週間程度、痛みや頬の腫れ、青あざのような内出血が出ることがあります。
インプラントは虫歯にはなりませんが、歯周病菌による炎症(歯周病)にはなります。これを「インプラント周囲炎」と呼びます。 日常のケア(歯磨き)や定期的な歯科医院でのメンテナンスを怠ると、歯周病菌が増殖し、インプラントを支えている顎の骨が溶けてしまいます。
【執筆監修】
医療法人社団プレジールあらい歯科クリニック玉川学園前
歯科医師 院長 新井容太